Диплококки — это опасные для здоровья мужчины бактерии. Опасность их заключается в том, что они являются возбудителями гонореи.
Поэтому при первых же характерных симптомах необходимо обратиться к венерологу и сделать мазок на гонорею.
Диплококки у мужчин: суть проблемы
Диплококки — это бактерии сферической формы. Они относятся к семейству Lactobacteriaceae. Представляют собой организмы, соединенные попарно и в редких случаях образующие цепочки. Как известно, различают 2 вида бактерий — грамположительные и грамотрицательные. Диплококки относятся к обоим из них. В медицине выделяют более 80 типов диплококков. Бактерия опасна тем, что является возбудителем воспаления легких, менингита, гонореи. В большинстве случаев диплококки в мазке у мужчины позволяют диагностировать именно гонорею.
Гонококк, являясь одной из разновидностей диплококков, представляет собой важный патоген, вызывающий гонорею у мужчин. Врачи отмечают, что инфекция часто протекает бессимптомно, что затрудняет её раннюю диагностику. При этом, если заболевание не лечить, оно может привести к серьезным осложнениям, включая воспаление яичек и простаты. Специалисты подчеркивают важность регулярных обследований, особенно для мужчин, имеющих несколько половых партнеров. Современные методы диагностики позволяют быстро выявить гонококковую инфекцию, что значительно увеличивает шансы на успешное лечение. Врачи рекомендуют не игнорировать симптомы, такие как болезненное мочеиспускание или выделения из уретры, и обращаться за медицинской помощью при первых признаках заболевания.

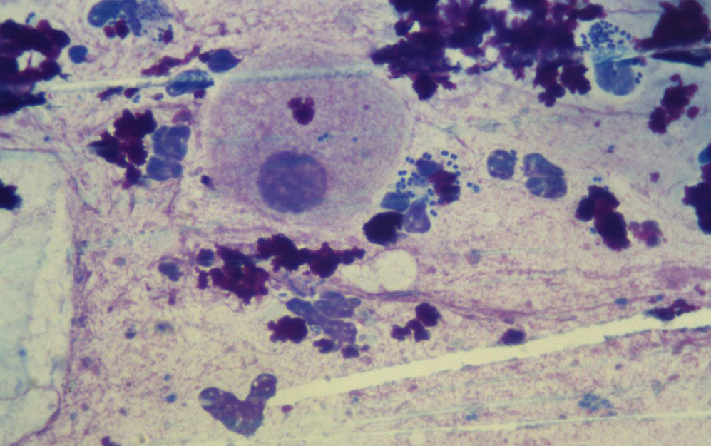
Разновидности диплококков у мужчин
Врачи различают несколько видов диплококков. Наиболее распространенные из них следующие:
Гонококки, которые являются непосредственными возбудителями гонореи у мужчин и женщин. Кроме того, именно гонококки являются самыми патогенными из всех разновидностей диплококков. Этот вид бактерий можно определить только по мазку и высокому числу лейкоцитов.
- Менингококк — это бактерия, которая вызывает менингококковую инфекцию. Этот диплококк отличается неподвижностью и непостоянной капсулой, а также чувствительностью к низким температурам и высушиванию. Он относится к грамотрицательным бактериям. Не такой патогенный, как гонококк, но несет немалый вред организму человека, поражая слизистую носоглотки и оболочки головного мозга. Уровень патогенности менингококка зависит от токсина, от количества которого, в свою очередь, зависит тяжесть протекания заболевания. Выделяют 2 формы менингококковой инфекции: генерализованные (например, менингоэнцефалит, менингит) и локализованные (назофарингит).
- Пневмококк — это бактерия, которая является возбудителем пневмококковой инфекции. Для заболевания характерна лихорадка, кашель, одышка, светобоязнь, дезориентация в пространстве, боли в грудине, уплотнение мышц на затылке. Лечится заболевание только при помощи антибиотиков.
- Внеклеточные диплококки — это бактерии, которые свидетельствуют о нарушении микрофлоры. Поэтому при обнаружении бактерий данного вида пациентов обычно направляют на повторный анализ.
Наиболее распространенным диплококком, который обнаруживают в мазке, является гонококк. В случае обнаружения в мазке гонококка парень обязательно должен пройти курс лечения.
Гонорея: причины и разновидности

Гонококк, являющийся разновидностью диплококков, вызывает множество обсуждений среди мужчин, особенно в контексте полового здоровья. Многие отмечают, что инфекция, вызванная гонококком, может протекать бессимптомно, что делает ее особенно опасной. Мужчины часто делятся опытом, как важно проходить регулярные обследования, чтобы избежать осложнений, таких как воспаление придатков или простатит. В социальных сетях можно встретить мнения о том, что стыд и страх перед диагнозом мешают многим обратиться к врачу. Некоторые подчеркивают необходимость открытого диалога о сексуальном здоровье, чтобы разрушить стигму и повысить осведомленность. В целом, обсуждения о гонококке подчеркивают важность профилактики и своевременного лечения для сохранения здоровья.

Разновидности гонореи у мужчин
Гонорею принято разделять на 2 типа: свежую и хроническую. Свежую гонорею разделяют еще на 3 вида:
Острая гонорея. Наиболее характерные симптомы — жжение и выделения из уретры.
- Подострая гонорея. Симптомы усиливаются: выделения становятся более обильными, переходя в гнойные. Возможно появление неприятного запаха, характерного для этого заболевания. Затем выраженность симптомов несколько снижается.
- Торпидная гонорея. Для этого типа гонореи характерны те же симптомы (выделения, зуд и др.), но они очень слабо выражены. Кроме того, какая-либо симптоматика может и вовсе отсутствовать.
Хроническая гонорея никак себя не проявляет. Она не сопровождается такими симптомами, как свежая гонорея. Максимум, что может наблюдаться, — это незначительные выделения из уретры, но более ярко выраженных признаков не наблюдается. В хроническую стадию болезнь переходит в том случае, если не было назначено лечение, когда она находилась в свежей стадии. Однако очень важно даже в случае, если ничего не беспокоит, обратиться к врачу, поскольку венерические заболевания наносят огромный ущерб не только мочеполовой и репродуктивной системе мужчины, но и всему здоровью.
Симптомы гонореи у мужчин
Гонорею можно выявить при помощи мазка. В некоторых случаях она выявляется случайно, если мужчина сдает мазок на какую-либо другую бактерию или инфекцию. Однако мужчину могут направить специально сдавать мазок на гонорею, если имеются подозрения на заболевание. Гонококк поражает эпителий органов мочеполовой системы (чаще всего цилиндрический, но иногда и плоский), конъюнктивы. Как правило, заподозрить и предварительно поставить диагноз позволяют характерные для гонореи симптомы. Наиболее общим признаком гонореи является поражение мочеиспускательного канала, сопровождающееся гнойным воспалительным процессом. Более частными симптомами являются следующие:
- ощущение рези в процессе опорожнения мочевого пузыря;
- серозно-гнойные выделения из уретры;
- ночные эрекции, сопровождающиеся болевыми ощущениями;
- отек головки пениса;
- выделения желтоватого оттенка из мочеиспускательного канала;
- болезненные ощущения при акте мочеиспускания.
Кроме симптомов, которыми сопровождается гонорея в любом случае, выделяют еще ряд симптомов, которые могут наблюдаться у некоторых мужчин:
- воспалительный процесс в области прямой кишки;
- воспаление слизистой оболочки горла;
- воспаление глаз.
Эта симптоматика очень опасна, поскольку при отсутствии должного лечения может дать тяжелые осложнения. В частности, может произойти поражение сердца, головного мозга, суставов, печени или кожи.
Острый гонорейный уретрит
Еще один характерный признак гонореи — уретрит. На протяжении болезни он проходит несколько степеней выраженности:
- Чувство жжения и зуда в области уретры, особенно передней ее части. Кроме того, из уретры появляются слизистые выделения. Первая стадия длится от 4 до 5 дней.
- Воспалительный процесс становится еще более острым. Мочеиспускание вызывает сильную боль, из уретры появляются гнойные выделения, которые отличаются обильностью. Кроме того, наблюдается отек, покраснение и уплотнение губок уретры. При пальпации появляется болезненность.
- Воспалительный процесс может распространиться на заднюю часть уретры. Это сопровождается болевыми ощущениями в конце акта мочеиспускания и частыми позывами к опорожнению мочевого пузыря.
Гонорейный уретрит из острой стадии может перейти в подострую. Последняя характеризуется той же симптоматикой, что и первая, но менее выраженной. Мужчинам стоит учитывать тот факт, что протекание заболевания может усложняться некоторыми факторами. К таковым относятся следующие:
- злоупотребление алкоголем;
- прерванные половые акты;
- затягиваемые половые акты;
- частое сексуальное возбуждение;
- острая пища.
Поэтому целесообразно хотя бы на время лечения избегать факторов, которые усложняют и без того неприятные симптомы.
Методы диагностики гонореи
Диагностировать гонорею можно по характерным для заболевания симптомам. Поэтому опытному венерологу в некоторых случаях диагноз ясен и без дополнительных анализов. Тем не менее гонорея окончательно диагностируется только после лабораторных исследований. Существует ряд методов, которые всегда применяются, когда идет речь о подозрении на гонорею:
- бактериоскопия выделений из уретры;
- посев асцит-агар;
- анализ мочи.
В некоторых случаях, когда имеются сомнения относительно достоверности результатов анализов, выполняют культуральную диагностику. Для получения достоверных результатов анализов с первого раза необходимо правильно подготовиться к процедуре. В частности, речь идет о бакпосеве, то есть мазке.
Мазок на гонорею: как правильно подготовиться
Мазок у мужчин берется из уретры. Этот анализ помогает выявить микробов, которые находятся в мочеиспускательном канале, и их количество. Тем самым анализ позволяет определить, являются ли эти бактерии возбудителями воспалительных и других патологических процессов в мочеполовой системе мужчины.
Чтобы правильно подготовиться к процедуре, достаточно соблюсти несколько правил:
- за 1-2 суток до анализа отказаться от секса;
- непосредственно перед анализом не стоит проводить интимную гигиену — это нужно сделать накануне вечером, но не позже;
- за 2-3 часа до анализа желательно не опорожнять мочевой пузырь;
- за 1 неделю до анализа прекратить прием каких бы то ни было препаратов, если это не было заранее согласовано с врачом.
Если пациент принимает какие-либо препараты (постоянно или на данный момент), он должен обязательно поставить врача в известность об этом, поскольку некоторые препараты могут менять результаты анализа.
Методы лечения гонореи
Крайне важно, чтобы лечение назначал венеролог. Самостоятельный выбор лекарств, консультирование у фармацевтов в аптеке и другие методы самолечения строго запрещены. Дело даже не в том, что такое лечение может оказаться неэффективным. Все гораздо серьезнее.
Неправильно назначенный курс лечения может усугубить ситуацию и тем самым ухудшить состояние здоровья. В то время как лечение, назначенное специалистом с учетом индивидуальных особенностей пациента и протекания заболевания, поможет как можно скорее достичь положительного и стойкого результата.
Гонорея лечится главным образом антибиотиками. Обычно назначают антибиотики пенициллинового ряда, поскольку они лучше всего влияют на гонококк. Однако иногда у пациентов развивается аллергическая реакция на пенициллин. В таком случае препараты этой группы меняют на другие. В редких случаях мужчине могут назначить препараты группы сульфаниламидов.
Дополнительно нередко назначают калиевую и натриевую соли в виде инъекций. Обычно этими препаратами лечение и ограничивается. Однако при свежей гонорее дополнительно назначают иммуностимуляторы (например, гоновакцину), дезинфицирующую и рассасывающую терапию (бужирование, промывание, диатермию и др.). Во многом назначение той или иной процедуры зависит от характера течения заболевания. Врач, делая назначение, учитывает все эти факторы.
Кроме того, крайне важно придерживаться некоторых правил во время лечения:
- не употреблять никаких алкогольных напитков (не исключение и слабоалкогольные напитки, пиво);
- не употреблять в пищу острые и соленые блюда;
- половое воздержание.
https://youtube.com/watch?v=IonkfrCiruM
После курса лечения пациент вновь сдает анализы. При этом перед контрольными исследованиями проводятся специальные комбинированные провокации. Если после анализов гонококки не выявлены, пациент считается излеченным полностью. Вместе с тем мужчина всегда должен помнить о том, что иммунитет к гонококкам не вырабатывается, что означает возможность вновь заразиться. Именно поэтому мужчина должен знать о методах профилактики заболевания и неукоснительно выполнять их, если не хочет снова заболеть гонореей. К ним относятся: избегание случайных половых связей, использование презерватива, интимная гигиена с мылом сразу после полового акта и закапывание в уретру раствора протаргола.
Вопрос-ответ
Диплококки это гонорея?
ГОНОРЕЯ. Возбудители – диплококки, поражающие слизистые оболочки половых органов, ротовой полости, прямой кишки, глаз. Заболевание начинается остро через 2-7 дней после полового контакта.
Гонорея — это диплококк?
Гонорея — распространённая ИППП, вызываемая Neisseria gonorrhoeae, грамотрицательной бактерией-диплококком, близкородственной другим видам Neisseria, встречающимся у человека. У мужчин обычно наблюдаются выделения из уретры, у женщин заболевание часто протекает бессимптомно, но могут быть выделения из влагалища.
Что такое диплококки у мужчин?
Diplococcus — округлые бактерии (кокки), обычно встречающиеся парами. Иногда (в организме) они бывают окружены капсулой. Примерами диплококков могут служить грамотрицательные бактерии рода Neisseria: менингококк, гонококк, а также пневмококк.
Как проявляется гонококк у мужчин?
Основные симптомы у мужчин: гнойные выделения из мочеиспускательного канала, учащенные болезненные мочеиспускания, зуд и жжение по ходу мочеиспускательного канала, боль при половом контакте, боль в промежности, которая отдает в прямую кишку.
Советы
СОВЕТ №1
Обратите внимание на симптомы. Если вы заметили болезненные ощущения при мочеиспускании, выделения из уретры или другие необычные симптомы, не откладывайте визит к врачу. Раннее обращение поможет избежать осложнений.
СОВЕТ №2
Соблюдайте правила личной гигиены. Регулярное мытье половых органов и использование презервативов при половом акте могут значительно снизить риск заражения гонококком и другими инфекциями, передающимися половым путем.
СОВЕТ №3
Проверьте своего партнера. Если у вас есть подозрения на инфекцию, важно, чтобы ваш сексуальный партнер также прошел обследование. Это поможет предотвратить повторное заражение и распространение инфекции.
СОВЕТ №4
Следите за своим здоровьем. Регулярные медицинские осмотры и тесты на инфекции, передающиеся половым путем, помогут вам поддерживать здоровье и выявлять проблемы на ранних стадиях.

Гонококки, которые являются непосредственными возбудителями гонореи у мужчин и женщин. Кроме того, именно гонококки являются самыми патогенными из всех разновидностей диплококков. Этот вид бактерий можно определить только по мазку и высокому числу лейкоцитов.
Острая гонорея. Наиболее характерные симптомы — жжение и выделения из уретры.



